
Skin Care, Laser Tx, and Laser Hair Removal Treatment in Tokyo Japan
Skin Care with Retin-A, Obagi ZO therapy
Lasers for Brown Spots, Wrinkles, Sagging face, Broken veins
Tightening and Lifting devices
Whitening, Depigmentation, Peeling
Laser for Stuffy Nose and Nasal Allergy
U.S. Board-Certified clinic offers treatment options for skin conditions.
Skin Care with Retin-A, Obagi ZO

Among many skin care items available, Retin-A is still the gold standard to treat various skin conditions. Retin-A removes old skin first, then rejuvenates the underlying skin layers, bringing baby skin like complexity. For those with brown spots, acne, and prominent skin pores, we recommend a combination of Retin-A with ZO Skin Health System / Obagi ZO system. This allows not only skin to rejuvenate but also removes unwanted brown spots and shrinks the skins pores. “Melasma” is a condition that often involves pigmentation of both cheeks (but sparing the area immediately below the lower eyelids) in symmetric pattern. This condition may not be due to simple sun exposure but related to the alteration of her internal endocrine status. It appears often during pregnancy but not necessary. Treatment options include use of whitening cream along with Retin-A and other medicated creams. Initial use of laser may be contraindicated. For photo examples, please click the “photo” button below.
Other skin care products are also available and the specialist will discuss the best treatment for you among many medications/cosmetics in the market.
Whitening cream from ¥5,000 + tax. Rejuvanation cream Retin-A from ¥10,000 + tax. ZO Skin Health System / Obagi ZO kit ¥53,000 + tax.
(all the pictures above are from Obagi Medical Products, Inc.)
[top]
Lasers for Brown Spots, Wrinkles, Sagging face/neck, Tattoo removal
We offer state of art laser treatment for various skin lesions by utilizing Q-switch laser, Genesis, Long-Pulse YAG, Diode, Ulthera. Our office has several different lasers for various skin conditions that you may have.



Laser treatment for tattoo removal
Laser removal of tattoo is available (by Q-switch laser). All the laser treatments will be done at our medical facility by a specialist (the pictures from Cynosure, Inc, USA).
Regarding the pain associated with the treatment, it can be significantly reduced with numbing cream or eliminated by the use of local anesthesia.
The laser treatment is done by our U.S. board-certified plastic surgeon. The price for laser tattoo removal ranges from 20,000 yen + tax for a small one, 50,000 yen + tax for the size of business card, and 100,000 yen + tax for the postal card size (all per session).
[top]
State of Art Laser: Ultherapy, Titan XL, Laser Genesis, and Long-Pulse YAG laser
For blemishes and fine wrinkles of the skin, medication (such as Tretinoin with whitening) or laser may be applied (the first 3 pictures below).

The U.S. company, Cutera invented “Titan XL ” — the state of art laser machine to deliver infrared energy to the medium to deep under skin tissue, resulting in tightening of those tissue. The final results are improvements in the sagging skin, loose skin, and lifting effects. These are said to be comparable to surgical lifting. Unlike the uncomfortable experience (pain) of “Thermacool”, the Titan gives only minimal discomfort (but big gain)(the Titan XL is the newest version of Cutera’s Titan laser – it has 3 times larger treatment head than the previous version Titan V). Titan XL – from ¥30,000 + tax.
The same machine also has a few more different functions including well known Laser Genesis that treats the superficial layers of the skin and also tighten the skin.
For the more marked sagging of the face and neck regions, Ultherapy can treat the problem areas more effectively. After even one treatment you may notice significant improvement. Ultherapy uses high-intensity focused ultrasound (HIFU), and the targeted areas can be treated at certain depth in very precise fashion, and later will show shrinkage/lifting effects.
*Focal treatment (Ultherapy). At our clinic, we do not offer full face treatment of the Ultherapy in general. The reason is that if you received the Ultherapy treatment where not so much fat exists, it would result in fat loss and actually you might look older later on. Such fat loss phenomenon has been reported in the English literatures in recent years. Our doctor evaluates your condition very carefully and focuses the target areas where you have significant sagging of skin and/or subcutaneous fat. This way you can maximize the benefit of the Ultherapy treatment and minimize the unwanted side effects (such as fat loss and older face).
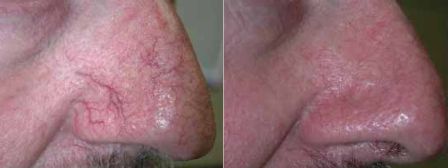
The Long-pulse YAG laser treats Rosecea and small vascular lesions such as spider veins of the legs (as the pictures below) and the broken veins of the face without burns and scars. Sclerotherapy for the spider veins is also available (from 25,000 yen + tax)


(For before/after of laser treatment — please check the pictures below)
[top]



(Above 3 pictures:laser removal of blotchy spots)




(above 4 pictures: Titan-XL laser lifting and tightening)


(above 2 pictures: Laser Genesis for skin pores, tightening, fine wrinkles)

(removal of freckles by Q-switch laser)


(removal of birthmark by Q-switch laser)

(above: spider veins of legs (thigh) removed with long pulse YAG laser)

(above 2 pictures: Long-pulse YAG laser for vascular lesions such as broken veins and spider veins)

(Stretch mark treated with long-pulse YAG and Titan XL laser)
Medical-grade Laser Hair Removal in U.S. Board-Cerfied Clinic
*Special Promotion: 50% Off for new patients (New Lower Price click for details)
Medical Laser hair removal for unwanted hair can be done using Diode or 1060nm (YAG) laser
Diode Laser
Our Diode laser machine is the U.S. made (Lumenis Inc) with the largest head available for that type (LightSheer Quattro*). Laser hair removal done in a clinic is quite different from those of salon-type treatment. Medical grade laser is much more powerful and usually require less sessions comparing to non-medical laser. *For more details about “Quattro”, please visit Lumenis Global Site. You can watch the video of the treatment.

Pain is minimal and result is immediate. Most regions require 3 or more treatments in 4-6 weeks interval due to the hair growth cycle. Most people show major reduction in hair growth after 3 sessions of treatment.
This is the major difference between the medical grade laser hair removal and the IPL type hair removal seen in aesthetic salons (The latter often requires more than 8 or 9 sessions to complete). We also apply the laser 2-3 paths in crisscross fashion to improve the effects of the hair reduction (most salons treat only one path to the target area). In order to treat with crisscross technique*, the person doing the procedure must be a qualified medical specialist. All if our staff for the laser hair treatment hold the government-issued licenses and well experienced. (*The crisscross technique may not be applied to some patients who show enough reaction after the first path of the laser).
The Diode laser hair removal is done at our medical facility. It is from ¥8,000 + tax. For the full price list of laser hair removal – click here.
1060nm (YAG) laser(Newly added machine!)

New addition to our laser hair treatment is Lumenis’ 1060nm (YAG) laser. This is a newest machine from the reputable Lumenis Inc. and designed for people with dark skin or focal dark skin areas such as VIO. 1060nm laser reaches deep area in the dermis where “bulge region” of hair follicle exist. The laser is not so much absorbed by the skin’s melanin but affects the stem cells for the hair growth.

– More examples of laser hair treatment for dark skin people using 1060nm –






Female medical staff is available for laser hair removal (by appointment).
Laser Hair Removal Testimonials:
” I have a very sensitive fair skin and was afraid of having laser treatment for the unwanted growth in Japan. My friend recommended Plaza Clinic for the treatment because many English speaking patients go there. The doctor is US board-certified, and all the staff speak English. They told me that they treat my kind of skin regularly and indeed, I had a good result from this clinic’s treatment. ”
” I had more than 10 sessions of laser hair treatment at an aesthetic salon, but did not get a satisfactory result (still growing). I know there was some difference between the clinic-based treatment and that of salon, but was not so sure until I had the medical grade laser treatment at Plaza. After 2 additional sessions, I noticed the hair became much thinner and the growth is limited. ”
” Medical laser hair treatment is pricy but at the Plaza, you can have 50% off of the fee up to 2 areas. I used this offer for Bikini and lower legs, and very happy about the results. ”
FAQ:
How often can I have the treatment and how many sessions of Tx I need?
Hair growth has certain cycles. The first laser treat the hair already exit on the surface. It takes 4-6 weeks to see the next cycle of the hair appearing above the skin. By repeating treatment in 4-6 weeks interval, you should begin to see major reduction in hair growth. How many sessions of treatment are required really depends on how far you want to reduce the hair. Some people are happy with the results after 3-4 sessions while other people are concerned about remaining fine baby hair growth. If the hair becomes very thin, and color of the hair is not dark, it might take more sessions to reduce further.
Who does the laser hair removal treatment?
At our clinic, only government licensed physician or nurses perform the treatment. For the lady’s private areas, female nurses will treat.
I have tan skin. Can I get treated?
If your skin is originally tan colored, there should be not so much problems treating. But, if you have tan skin from sun exposure or tanning salon, you should not be getting treatment until the tan effects fade and return to original skin condition (high chance of burn). If you have very dark skin color, sometimes, laser hair treatment might not be a good option. But most people with light brown tan skin should be able to get the treatment and reasonable results.
How soon after the treatment can I go to a place like Hawaii?
If you have no reaction such as redness after the hair removal procedure, you may go to Hawaii, but make sure you recover from the sun tan before the next treatment.
I am travelling right now and I may not return to Japan anytime soon, but is it worth doing laser hair?
Even if you have only one treatment, you should experience reduction of the hair growth. If you move to another country, you can have further treatment. It does not have to be by the same machine, you can still get improvement.
I am currently 3 month pregnant, can I get laser hair removal treatment?
Not only the American FDA but the manufacture do not recommend getting laser treatment while you are pregnant. That is not necessary due to the possible danger to the fetus, but because of the pain involved during the treatment – that may influence patients’ emotion, it is safer to say not to do the treatment during the pregnancy.
[top]

chest

chin, jaw line

underarm

upper neck

upper back
Mole removal is done using either surgical methods for large one or laser for small one (from ¥5,000 + tax for small one and up). Skin tags are treated in similar fashion. Broken veins and and Spider veins are removed by laser (from ¥20,000 + tax ~). Other skin lesions such as lesions derived from sun damaged skin can be treat as well.
Whitening (depigmention treatment) Chemical peel is available for better toning of the skin. We have a special peeling for melasma and whitening treatment for hyperpigmented scars and acne.
Nipple/Areolar area and other pigmented areas can be treated with combined use of whitening medication and special chemical peel. Whitening cream alone often does not improve the condition, so we recommend special chemical peeling in most cases. From 10,000 yen.
Please ask more in detail. You may e-mail your inquiry to our clinic prior to a formal consultation.
Laser treatment for Nasal Allergy and Stuffy Nose
Stuffy nose and Nasal allergy can be treated using U.S.-made state of the art laser machine. It is an non-invasive (no pain, no bleeding) treatment. After one or two sessions, you maybe symptom free. Cost – 10,500 yen per treatment. Please ask for more detail by e-mail.
Second Opinion Consultation
- Unhappy results from treatment/surgery elsewhere?
- Provide pictures from before/after the procedures.
- Bring operative reports if available.
- You may e-mail your inquiry to our clinic prior to a formal consultation.
- Our U.S. Board-Certified plastic surgeon will review and analyze your case, and give you a professional advice.


